Hipertrofia lipomatosa do septo interatrial: o que é, sintomas e tratamento

Hipertrofia lipomatosa do septo interatrial: o que é, sintomas e tratamento

Nesse texto iremos abordar  sobre a hipertrofia lipomatosa do septo interatrial (HLSIA). Esta é uma condição cardíaca que afeta o septo interatrial, a parede que separa as câmaras superiores do coração.  A hipertrofia lipomatosa do septo interatrial foi descoberta e relatada pela primeira vez em meados do século XX. Desde então, estudos e pesquisas têm sido realizados para entender melhor essa condição e seus efeitos no coração

O que é hipertrofia lipomatosa do septo interatrial?

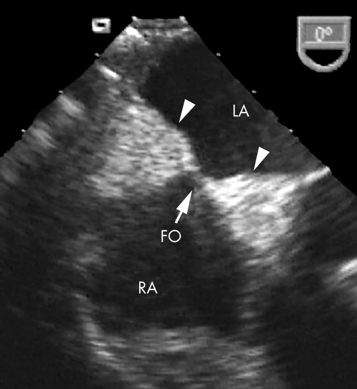
A hipertrofia lipomatosa do septo interatrial é uma condição benigna caracterizada pelo acúmulo maciço de gordura no septo interatrial que ultrapassa 2 cm de espessura. Por  poupar a região da fossa oval, acometendo as regiões dos istmos, é também denominada de septo interatrial em formato de haltere ou ampulheta. (Ver também: Forame Oval Patente (FOP) – Definição, diagnóstico e tratamento)

Hipertrofia Lipomatosa do Septo Interatrial
Hipertrofia llipomatosa do septo interatrial
(LA: átrio esquerdo; RA: átrio direito; FO: fossa oval)

A hipertrofia lipomatosa do septo interatrial é comum?

Inicialmente, os médicos consideravam esta condição como uma condição rara, mas agora eles a reconhecem cada vez mais devido ao uso generalizado do ecocardiograma. Nos estudos mais recentes, estima-se uma prevalência de 1 a 8% da população geral.

É mais comum em adultos do que em crianças e parece ocorrer igualmente em homens e mulheres.

Alguns trabalhos relataram a associação da HLSIA com condições que favoreçam o acúmulo de gordura corpórea, como síndrome metabólica e a obesidade propriamente dita, mas a precisa relação entre elas ainda não é bem estabelecida.

Quais são os sintomas e sinais da hipertrofia lipomatosa do septo interatrial?

Muitas vezes, descobre-se acidentalmente essa condição em exames cardiológicos de rotina. Contudo, a HLSIA pode causar arritmias atriais e exercer efeito de massa, atrapalhando a drenagem venosa (veias cavas ou pulmonares).

Nesses casos,  os sintomas podem incluir falta de ar, palpitações, fadiga e tonturas

É importante ressaltar que esses sintomas também podem estar relacionados a outras condições cardíacas, por isso é fundamental um diagnóstico médico adequado.

Como fazer o diagnóstico da hipertrofia lipomatosa do septo interatrial?

O diagnóstico da hipertrofia lipomatosa do septo interatrial geralmente é feito por meio de exames de imagem, como ecocardiograma transtorácico e ressonância magnética cardíaca. Esses testes permitem visualizar o septo interatrial e identificar a presença de gordura excessiva.

Existe um tratamento específico para a hipertrofia lipomatosa do septo interatrial?

Atualmente, não existem diretrizes específicas para o tratamento da hipertrofia lipomatosa do septo interatrial. Os casos assintomáticos geralmente não requerem intervenção médica. Geralmente, a abordagem ao tratamento dessa condição envolve a consideração dos sintomas apresentados pelo paciente, bem como a avaliação do risco associado à presença do tecido adiposo no septo interatrial. Se a HLSIA for assintomática e não houver risco significativo, o tratamento pode não ser necessário, e o paciente pode acompanhar com seu médico regularmente para monitorar quaisquer alterações.

Por outro lado, se a condição causar sintomas como falta de ar, palpitações ou outros problemas cardíacos, ou se houver um risco significativo de complicações, considera-se o tratamento. Nesses casos, a abordagem de tratamento pode incluir:

  1. Tratamento dos sintomas: Para controlar os sintomas podemos prescrever algumas medicações, como, por exemplo, medicamentos para controlar a pressão arterial elevada, o ritmo cardíaco anormal ou a insuficiência cardíaca.
  2. Cirurgia: Em casos graves em que os sintomas são incapacitantes ou quando há um risco significativo de complicações, pode ser necessária a cirurgia para remover o tecido adiposo do septo interatrial. Chamamos essa cirurgia de septoplastia.

Qual é o prognóstico?

O prognóstico geralmente é bom para os pacientes com hipertrofia lipomatosa do septo interatrial. A maioria das pessoas com essa condição leva uma vida normal e saudável, sem complicações significativas. No entanto, é importante realizar um acompanhamento médico regular para monitorar a condição e garantir que não haja mudanças ou complicações ao longo do tempo.

Cardiologista – Curitiba

A Loyola e Avellar possui profissionais capacitados e tem como objetivo cuidar da saúde e bem-estar de seus pacientes.  Agende sua CONSULTA ou TELECONSULTA agora mesmo:   41.3076-3054 ou whatsapp

Dr. Alexandre L. S . Avellar Fonseca – Cardiologista